Perkhidmatan & FQA

Teknik percubaan makmal pergigian China mahkota gigi palsu dan prostesis jambatan

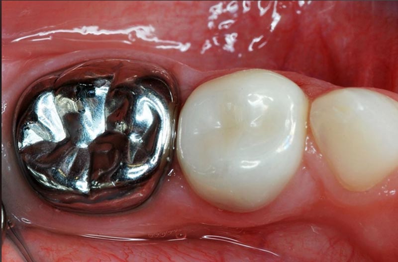
Pemasangan PROSTHESES

Penilaian prostesis pada jenis pengganti sebelum dipasang

Doktor makmal pergigian China amat perlu untuk memeriksa kesesuaian antara mahkota dan jenis prostesis sebelum menilai jenis prostesis pada generasi. Dengan memeriksa mahkota, doktor mungkin menemui kemungkinan masalah dengan kesesuaian marginal mahkota, estetika dan oklusi. Secara umum, masalah biasa mungkin termasuk: sentuhan terlalu rapat antara permukaan bersebelahan, tonjolan kecil pada permukaan tisu tuang, lanjutan tepi mahkota yang berlebihan, sambungan tepi mahkota tidak mencukupi dan kerosakan penggantian jenis. 

1, sentuhan permukaan bersebelahan secara amnya terlalu ketat untuk penyetempatan jenis penjanaan, tidak tepat atau titik sentuhan permukaan kolar mempunyai hasil pergeseran. 

Penyelesaian:Mahkota dalam penjanaan kedudukan, semak penjanaan sama ada anjakan, dan melalui kertas oklusal untuk menentukan titik sentuhan, pengisaran dan penggilap. 

2. Tonjolan kecil pada permukaan tuangan disebabkan oleh gelembung udara apabila ia tertanam.

 Penyelesaian:Keluarkan gerudi bulat kecil. 

3. regangan berlebihan boleh disebabkan oleh kualiti teraan yang kurang baik, pengacuan yang lemah, dan lebihan lilin atau porselin yang tidak dipangkas pada tepi mahkota.

PENYELESAIAN:betulkan paksi mahkota dan gilapnya, atau pertimbangkan untuk mengembalikan pemulihan ke kedai dan membuatnya semula. 

4. Tepi tidak cukup meregang kerana kualiti kesan buruk, kemasan generasi tidak baik, tidak dapat menentukan garisan penamat, dll. 

Penyelesaian:Buat kesan baru dan baiki badan 

5, kerosakan jenis generasi kerana juruteknik tidak berhati-hati dan membawa kepada kerosakan talian lengkap, atau terdapat buih pada pemutus pada jenis generasi haus dan lusuh jenis generasi. 

Penyelesaian:teliti memeriksa punca kerosakan generasi. Jika pemulihan tidak dilakukan selepas mengeluarkan buih atau tonjolan kecil dan memangkas terlalu panjang tepi, ia harus dikembalikan ke kedai untuk dibuat semula. 


Cuba prostesis pada mulut

Pemasangan Mahkota

Selepas pemeriksaan PROSTESIS, prostesis sementara hendaklah ditanggalkan dari mulut pesakit dan pelekat sementara yang tertinggal pada gigi hendaklah ditanggalkan dengan teliti, terutamanya pelekat yang tertinggal di alur penahan atau di alur GINGIVAL. Punca kegagalan boleh ditentukan secara beransur-ansur oleh satu siri peperiksaan: 

1) untuk menentukan bahawa tiada sisa pelekat sementara atau gangguan daripada tisu gingiva; 

2) untuk memeriksa dan melaraskan sentuhan bersebelahan yang berlebihan, juga memeriksa kerosakan model zon sentuhan 

3)Semak ralat jelas yang berkaitan dengan fabrikasi juruteknik, termasuk buih, nodul, kecacatan generasi dan kecacatan tepi, jarum boleh digunakan untuk mengeluarkan buih dan tumor kecil tuangan. 

4) Untuk tepi yang terlalu panjang, mahkota mesti dipangkas dari luar dan bukannya dari dalam. 5, semua ketidaksempurnaan hendaklah dibuang perlahan-lahan dengan jarum dan dipakai semula.


Penilaian akhir penempatan prostesis

Penilaian akhir prostesis hendaklah dijalankan dari empat aspek: 


sentuhan antara permukaan bersebelahan, penampilan estetik, kohesi marginal dan oklusi. 

Doktor gigi sentuhan bersebelahan menggunakan flos gigi untuk memeriksa sentuhan permukaan bersebelahan. Sentuhan permukaan bersebelahan yang sesuai adalah untuk flos melaluinya tetapi dengan sedikit rintangan. Jika sesentuh sedikit ketat, mahkota bersebelahan dengan kawasan sesentuh boleh menjadi sejumlah kecil pergeseran dan penggilap, apabila perlu berhati-hati, operasi yang tidak betul mudah untuk membuat kawasan sesentuh terbuka. Gunakan kertas oklusal nipis di antara mahkota (dalam mulut atau pada mahkota) sebelum pelarasan. Ini juga boleh membantu dalam memeriksa kesesuaian rahang. Keadaan zon sentuhan jarang berlaku dan, jika ia berlaku, boleh diperbaiki dengan mengembalikan mahkota ke kedai dan menambah pateri porselin dan aloi pada muka bersebelahan. Prostesis yang tidak dirawat tidak boleh dipakai dan diikat pada mulut pesakit, kerana ini boleh menyebabkan kesan makanan. 

Pelarasan estetik warna dan bentuk mahkota, di sini untuk memberi perhatian kepada adalah perlu untuk membuat pelarasan kecil, jika perlu, dalam lapisan logam menambah porselin. Jika warna terlalu terang, ia boleh diperbaiki dengan mencelup dan mensinter semula. Di samping itu, mahkota seramik dan warna venir porselin juga boleh diperhalusi dengan pelekat resin. Sebelum ikatan, pesakit harus dibenarkan menilai pemulihan. Jika mereka tidak dapat menerima warna dan bentuk mahkota, adalah disyorkan supaya mereka bersuara. Doktor tidak boleh mengambil risiko ketidakpuasan hati pesakit dengan risiko ikatan, dan akhirnya akan membaiki pembongkaran badan, dan kemudian mengulangi semua proses pengeluaran sebelumnya. Memujuk pesakit untuk menerima prostetik yang tidak disenanginya mungkin merupakan kejayaan sementara, tetapi ia meninggalkan potensi sumber masalah kemudian.

Oklusal marginal Oklusi mahkota berkisar dari sangat oklusal hingga terbuka di sepanjang tepi gigi, terutamanya di tepi di mana hanya probe boleh digunakan. Semasa operasi, adalah sangat penting bagi doktor untuk mengikuti standard klinikal yang tinggi untuk memanjangkan hayat perkhidmatan prostesis. Kegagalan kebanyakan pemulihan mahkota dan jambatan klinikal berkait rapat dengan kecacatan marginal. Tepi yang tidak rapat boleh menjadikan simen lebih mudah bersentuhan dengan air liur atau air di dalam mulut dan larut, mengakibatkan pengekalan mahkota yang lemah, pengumpulan plak marginal dan karies sekunder. Margin subgingiva yang rosak boleh menjejaskan kesihatan gusi melalui tindakan bakteria tempatan. 

Langkah terakhir ialah penilaian gigitan. Doktor gigi harus mengeluarkan mahkota dan memilih beberapa gigi bersebelahan. Dalam usaha untuk meletakkan semula mahkota sebagai rujukan untuk penilaian, pada masa ini kertas untuk menentukan jumlah pelarasan.

Berita Berkaitan
Tinggalkan saya mesej
X
Kami menggunakan kuki untuk menawarkan anda pengalaman menyemak imbas yang lebih baik, menganalisis trafik tapak dan memperibadikan kandungan. Dengan menggunakan tapak ini, anda bersetuju dengan penggunaan kuki kami. Dasar Privasi
Tolak Terima